As our dogs and cats go about their daily lives, they can sustain injuries to themselves while running, jumping, or playing. Some pets may be born with conformational abnormalities that affect their musculoskeletal system. Our vets understand how important mobility is to your pet’s quality of life, and we offer expert care for a range of orthopaedic conditions, including:
- Cruciate Ligament Injury
- Medial Patella Luxation
- Hip Dysplasia
- Fractures and Limb Injuries
CRUCIATE LIGAMENT INJURY
Cruciate ligament injuries are the most common orthopaedic issue in dogs of all ages. These injuries often occur during everyday activities—like jumping off furniture, chasing a ball, or playing at the beach. The most common presentation is a sudden hind limb lameness, which may improve over time, but if untreated will result in swelling of the stifle and resultant arthritis. However, sometimes dogs only partially tear their cruciate leading to a malingering low-level lameness. Cruciate injury can occur in any dog, but some breeds (eg, Retrievers, Rottweilers and American Staffordshire Bull Terriers) are predisposed to cruciate ligament tears due to their physical conformation.
The cruciate ligament plays a vital role in stabilising the knee joint. It prevents the forward sliding movement of the shin bone (tibia) away from the thigh bone (femur). When it ruptures, your pet may struggle to bear weight on the affected leg, due to this sliding movement called a “cranial drawer”. Your vet will likely try to elicit this movement, or a tibial thrust test, to determine the diagnosis. Since animals can be tense at the vet clinic, sedation is required to fully evaluate the joint. In cases that have only partial rupture of the cruciate ligament these tests are less obvious, & subtle changes under sedation are particularly important in diagnosis.
Without an intact cruciate ligament, instability within the stifle joint can lead to abnormal wear between the bones and cartilage, leading to degenerative changes, and eventually osteoarthritis. Bone spurs called osteophytes develop resulting in chronic pain and loss of joint motion. Surgery greatly improves pain and function, and the development of arthritis can be slowed by surgery but not reversed.

Cruciate Ligament Repair Options at Forrestfield and High Wycombe Vets:
There are many techniques for cruciate ligament surgery in dogs, with different advantages, costs and applications to different cases. Some of our vets have received additional training, enabling them to perform a number of surgical repair techniques for cruciate injuries. We offer several surgical techniques including:
- TPLO (Tibial Plateau Levelling Osteotomy)
TPLO is widely regarded as the gold standard for cruciate ligament repair, offering excellent long-term outcomes, especially for active and larger dogs. This procedure involves making a curved cut in the tibia (shin bone), rotating it, and securing it in a new position using a specialised plate and screws. By changing the angle of the joint surface, TPLO neutralises the forces that cause instability in a cruciate-deficient knee.
An Analogy: Imagine a cart on a hill secured by a rope. If the rope breaks (like the torn ligament), the cart rolls downhill. But if you level the hill (like the TPLO surgery does), the cart stays still — even without the rope.
Although TPLO is one of the best techniques, its higher cost means it is not an option for all pet owners

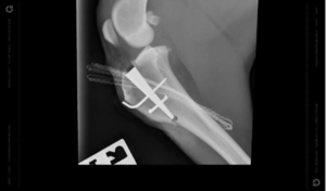
- MMP (Modified Maquet Procedure)
The MMP procedure is considered less invasive than the TPLO, recovery can be quicker, and the surgery can be performed at significantly lower cost but still with excellent outcomes. It involves altering the tibial angle by making a cut in the bone of the tibia and using a special titanium Orthofoam™ wedge implant to advance a portion of the bone (the tibial tuberosity) forwards. This is then fixed in place with a pin & titanium staple. The advancement of the bone causes an increase in tension on the patella tendon, altering the knee’s biomechanics, so the patella tendon takes over the function of the damaged cruciate ligament.

- Extracapsular Lateral Suture Repair
This is the traditional approach, requiring less specialist equipment and was the most common technique prior to the evolution of TPLOs & MMPs. It involves placing a strong nylon-like suture outside the knee joint to mimic the function of the cruciate ligament. Over time, scar tissue forms to stabilise the joint even if the suture weakens. This technique still produces excellent outcomes especially in smaller dogs up to 25-30kg and can be performed at significantly lower cost than the modern techniques. For larger pets, modern techniques like TPLO or MMP provide more reliable results and are recommended. However, extracapsular repairs are still an excellent option for many pet owners.

Our team will assess your pet and recommend the most suitable surgical repair for your pet’s cruciate injury in consultation with you.
MEDIAL PATELLA LUXATION
Medial Patella Luxation (MPL) occurs when the kneecap slips out of its normal position. While it can result from trauma, it most commonly affects small breeds like Maltese, Cavoodles, and Poodles due to congenital alignment issues. Some pets may remain pain-free, but others may experience discomfort, limping, or intermittent lameness. You may observe your dog “skip” on the affected leg.
In cases requiring surgery, we offer:
- Tibial Tuberosity Transposition (TTT) – A corrective procedure that realigns the patella and improves joint function.
- Trochlea Groove Modification – The patella slides in a groove at the bottom of the femur. In some toy breeds this groove is too shallow so deepening this groove will result in the patella remaining in position in combination with other techniques.
- Lateral Patella Sling and Imbrication – This technique involves placing a nylon suture material sling around the patella to stop it moving out of the groove. Often performed as an adjunct to the above techniques, it can still be a very successful method in dogs without significant deformity.
HIP & ELBOW DYSPLASIA
Hip and elbow dysplasia are developmental conditions, primarily affecting larger breeds such as Labrador Retrievers, Golden Retrievers, and Rottweilers. They result from improper formation of the joint during growth and can lead to pain, stiffness, and reduced mobility.
We can diagnose joint dysplasia through physical examination and radiographs. Depending on the severity, we may recommend:
- Surgical options for joint correction or replacement, including viable salvage surgery to alleviate the pain of advanced hip dysplasia
- Medical management including analgesic or anti-inflammatory medications, joint supplements or physiotherapy.
- Lifestyle adjustments such as weight management and controlled exercise plans.
FRACTURES & LIMB INJURIES
If your pet suffers a broken leg or other orthopaedic trauma, we can provide:
- Fracture repair surgery
- Limb or toe amputation, if necessary, with compassionate care and support for recovery.
Why Choose HIGH WYCOMBE and FORRESTFIELD VET HOSPITALS?
Our experienced team is committed to providing the highest standard of orthopaedic care. In complex cases, we may collaborate with specialist surgeons to ensure your pet receives the best possible outcome. Every treatment plan is tailored to your pet’s specific needs, ensuring compassionate, expert care every step of the way.
Contact us today to book an assessment or learn more about our cost-effective orthopaedic services. We undertake orthopaedic procedures on a weekly basis so have availability to suit your pet’s needs.
Your pet’s comfort and mobility are our top priorities.